本文方法有CLAHEColor、NLM、Opening_operation、OTSU、Normalize、HSV、CLAHE+Normalize、HSV+CLAHE、NLM+Opening,主要針對圖像去噪及輪廓增強,程式呼叫方法如下所示。
-
參數說明
CLAHE_Color:增強方法
clahenum:設定每次處理的大小(值越大圖片顆粒感越重)
輸入範例:
datagen=CustomDataGenerator(fun="CLAHE_Color",clahenum=40,dtype=int)
*下圖分別為clahenum所設定不同值的結果,由下圖所示clahenum設定為24輪廓較為明顯。
-
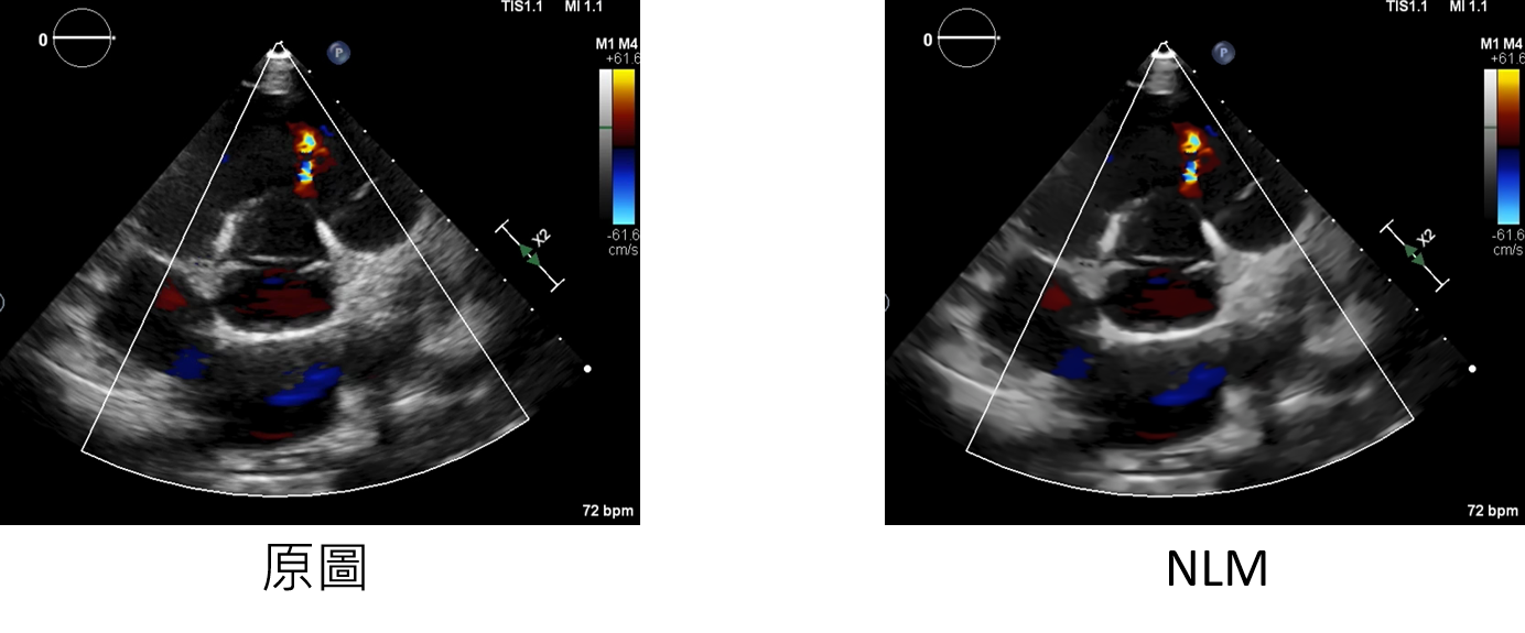
參數說明
NLM:增強方法
h:決定濾波器強度。較高的值可以更好的消除噪聲,但也會刪除圖像細節
templateWindowSize:奇數(推薦值為7)
searchWindowSize:奇數(推薦值為21)
輸入範例:
datagen=CustomDataGenerator(fun="NLMOpening",h=10,templateWindowSize=7,searchWindowSize=21,dtype=int)
-
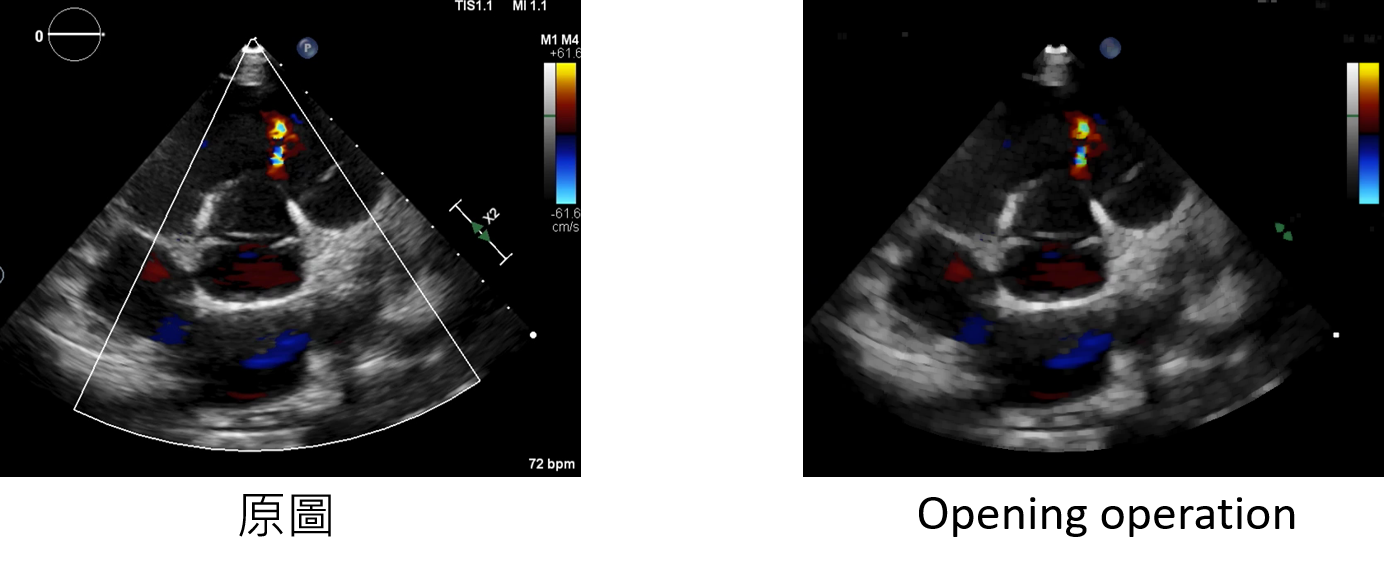
參數說明
Opening_operation:增強方法
kernel:設定內核的大小
輸入範例:
datagen=CustomDataGenerator(fun="Opening_operation",kernel=5,dtype=int)
-
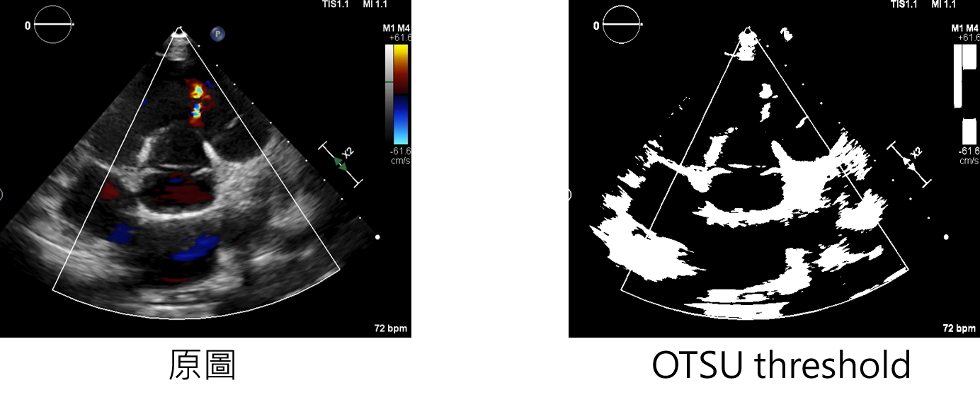
參數說明
OTSU:增強方法
輸入範例:
datagen=CustomDataGenerator(fun="OTSU",dtype=int)
-
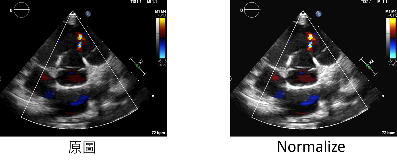
參數說明
normalize:增強方法
輸入範例:
datagen=CustomDataGenerator(fun="normalize",dtype=int)
-
參數說明
HSVcolor:增強方法
輸入範例:
datagen=CustomDataGenerator(fun="HSVcolor",dtype=int)
-
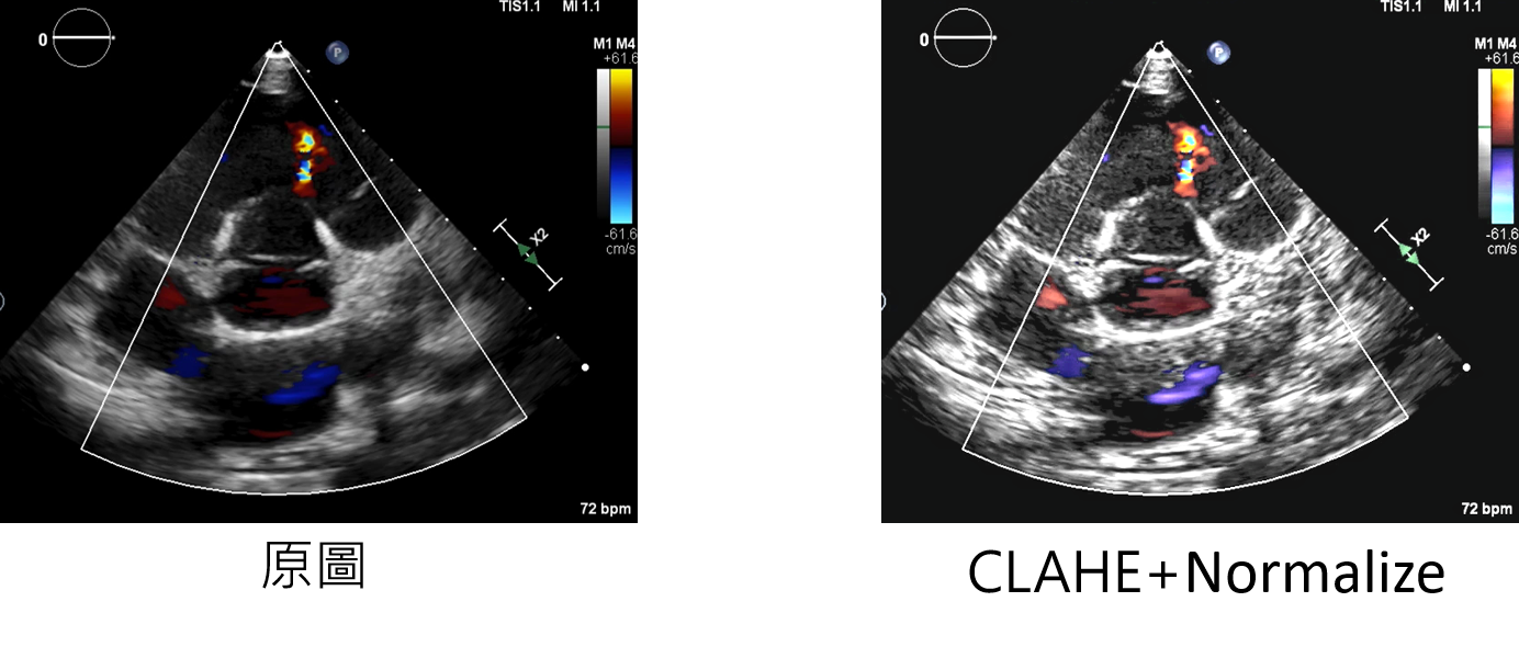
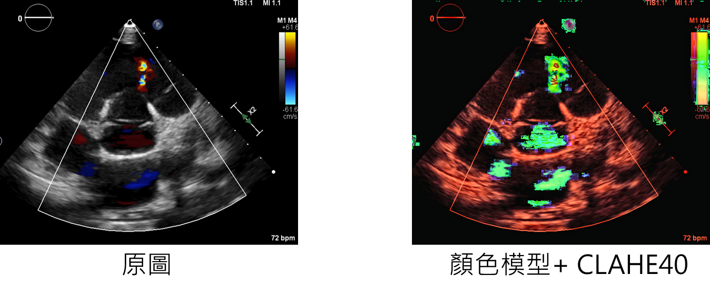
參數說明
CLAHENormalize:增強方法
clahenum:設定每次處理的大小
輸入範例:
datagen=CustomDataGenerator(fun="CLAHENormalize",clahenum=40,dtype=int)
*下圖為CLAHE-clahenum=40+normalize與原圖的對比
-
參數說明
CLAHEHSVcolor:增強方法
clahenum:設定每次處理的大小
輸入範例:
datagen=CustomDataGenerator(fun="CLAHEHSVcolor",clahenum=40,dtype=int)
*下圖為CLAHE-clahenum=40+HSV與原圖的對比
-
參數說明
NLMOpening:增強方法
h:決定濾波器強度。較高的值可以更好的消除噪聲,但也會刪除圖像細節
templateWindowSize:奇數(推薦值為7)
searchWindowSize:奇數(推薦值為21)
kernel:設定內核的大小
輸入範例:
datagen=CustomDataGenerator(fun="NLMOpening",h=10,templateWindowSize=7,searchWindowSize=21,kernel=5,dtype=int)
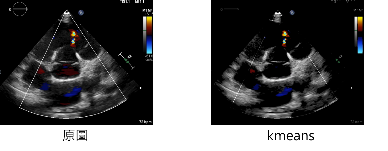
下方介紹圖像去背方法分別為,小波轉換、k-means
-
參數說明
kmeans:增強方法
num_clusters:獲得每個像素所屬的類別
輸入範例:
datagen=CustomDataGenerator(fun="kmeans",num_clusters=4,dtype=int)
-
注意!!!!
該方法因為輸出為單通道,因此無法在本專案做使用。
在下方附上範例程式
輸入範例:
image = cv2.imread('03.png')
img = cv2.resize(img, (256, 256))
# 将多通道图像变为单通道图像
img = cv2.cvtColor(img, cv2.COLOR_BGR2GRAY)
# plt.figure('二维小波一级变换')
coeffs = pywt.dwt2(img, 'haar')
cA, (cH, cV, cD) = coeffs
# 将各个子图进行拼接,最后得到一张图
AH = np.concatenate([cA, cH], axis=1)
VD = np.concatenate([cV, cD], axis=1)
img2 = np.concatenate([AH, VD], axis=0)
cv2.imwrite("dwt.png",img2)
*下圖為小波轉換後的結果










