This package provides a Python API and CLI for simulating input data for Quantitative Susceptibility Mapping (QSM), including BIDS-compliant magnitude and phase MRI. This is also known as the QSM forward problem or forward model. A good quality forward model is important for testing and evaluating QSM algorithms under controlled conditions and in developing deep-learning models for QSM.
Based on Marques, J. P., et al. (2021). QSM reconstruction challenge 2.0: A realistic in silico head phantom for MRI data simulation and evaluation of susceptibility mapping procedures. Magnetic Resonance in Medicine, 86(1), 526-542. https://doi.org/10.1002/mrm.28716
Includes code for:
- Field model (forward multiplication with dipole kernel based on chi)
- Signal model (magnitude and phase simulation based on field/M0/R1/R2star)
- Phase offset model
- Noise model
- Shim field model
- k-space cropping
pip install qsm-forward
In this example, we simulated susceptibility sources (spheres and rectangles) to generate a BIDS directory:
import qsm_forward
if __name__ == "__main__":
recon_params = qsm_forward.ReconParams()
recon_params.subject = "simulated-sources"
recon_params.peak_snr = 100
recon_params.random_seed = 42
tissue_params = qsm_forward.TissueParams(
chi=qsm_forward.generate_susceptibility_phantom(
resolution=[100, 100, 100],
background=0,
large_cylinder_val=0.005,
small_cylinder_radii=[4, 4, 4, 7],
small_cylinder_vals=[0.05, 0.1, 0.2, 0.5]
)
)
qsm_forward.generate_bids(tissue_params, recon_params, "bids")bids/
└── sub-simulated-sources
└── ses-1
├── anat
│ ├── sub-simulated-sources_ses-1_run-1_echo-1_part-mag_MEGRE.json
│ ├── sub-simulated-sources_ses-1_run-1_echo-1_part-mag_MEGRE.nii
│ ├── sub-simulated-sources_ses-1_run-1_echo-1_part-phase_MEGRE.json
│ ├── sub-simulated-sources_ses-1_run-1_echo-1_part-phase_MEGRE.nii
│ ├── sub-simulated-sources_ses-1_run-1_echo-2_part-mag_MEGRE.json
│ ├── sub-simulated-sources_ses-1_run-1_echo-2_part-mag_MEGRE.nii
│ ├── sub-simulated-sources_ses-1_run-1_echo-2_part-phase_MEGRE.json
│ ├── sub-simulated-sources_ses-1_run-1_echo-2_part-phase_MEGRE.nii
│ ├── sub-simulated-sources_ses-1_run-1_echo-3_part-mag_MEGRE.json
│ ├── sub-simulated-sources_ses-1_run-1_echo-3_part-mag_MEGRE.nii
│ ├── sub-simulated-sources_ses-1_run-1_echo-3_part-phase_MEGRE.json
│ ├── sub-simulated-sources_ses-1_run-1_echo-3_part-phase_MEGRE.nii
│ ├── sub-simulated-sources_ses-1_run-1_echo-4_part-mag_MEGRE.json
│ ├── sub-simulated-sources_ses-1_run-1_echo-4_part-mag_MEGRE.nii
│ ├── sub-simulated-sources_ses-1_run-1_echo-4_part-phase_MEGRE.json
│ └── sub-simulated-sources_ses-1_run-1_echo-4_part-phase_MEGRE.nii
└── extra_data
├── sub-simulated-sources_ses-1_run-1_chi.nii
├── sub-simulated-sources_ses-1_run-1_mask.nii
└── sub-simulated-sources_ses-1_run-1_segmentation.nii
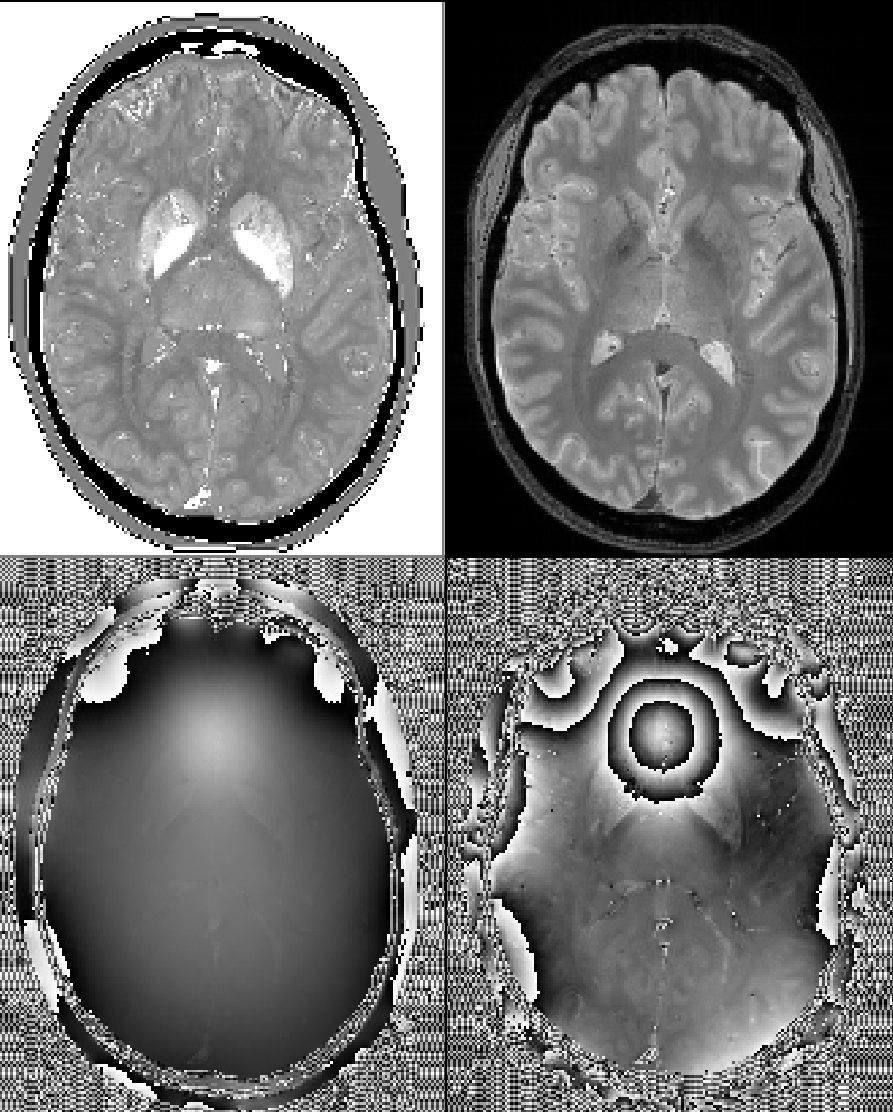
Some repesentative images including the mask, first and last-echo phase image, and ground truth susceptibility (chi):
In this example, we generate a BIDS-compliant dataset based on the realistic in-silico head phantom. If you have access to the head phantom, you need to retain the data directory which provides relevant tissue parameters:
import qsm_forward
import numpy as np
if __name__ == "__main__":
tissue_params = qsm_forward.TissueParams(root_dir="~/data")
recon_params_all = [
qsm_forward.ReconParams(voxel_size=voxel_size, peak_snr=100, random_seed=42, session=session)
for (voxel_size, session) in [
(np.array([0.8, 0.8, 0.8]), "0p8"),
(np.array([1.0, 1.0, 1.0]), "1p0"),
(np.array([1.2, 1.2, 1.2]), "1p2")
]
]
for recon_params in recon_params_all:
qsm_forward.generate_bids(tissue_params=tissue_params, recon_params=recon_params, bids_dir="bids")bids/
└── sub-1
├── ses-0p8
│ ├── anat
│ │ ├── sub-1_ses-0p8_run-1_echo-1_part-mag_MEGRE.json
│ │ ├── sub-1_ses-0p8_run-1_echo-1_part-mag_MEGRE.nii
│ │ ├── sub-1_ses-0p8_run-1_echo-1_part-phase_MEGRE.json
│ │ ├── sub-1_ses-0p8_run-1_echo-1_part-phase_MEGRE.nii
│ │ ├── sub-1_ses-0p8_run-1_echo-2_part-mag_MEGRE.json
│ │ ├── sub-1_ses-0p8_run-1_echo-2_part-mag_MEGRE.nii
│ │ ├── sub-1_ses-0p8_run-1_echo-2_part-phase_MEGRE.json
│ │ ├── sub-1_ses-0p8_run-1_echo-2_part-phase_MEGRE.nii
│ │ ├── sub-1_ses-0p8_run-1_echo-3_part-mag_MEGRE.json
│ │ ├── sub-1_ses-0p8_run-1_echo-3_part-mag_MEGRE.nii
│ │ ├── sub-1_ses-0p8_run-1_echo-3_part-phase_MEGRE.json
│ │ ├── sub-1_ses-0p8_run-1_echo-3_part-phase_MEGRE.nii
│ │ ├── sub-1_ses-0p8_run-1_echo-4_part-mag_MEGRE.json
│ │ ├── sub-1_ses-0p8_run-1_echo-4_part-mag_MEGRE.nii
│ │ ├── sub-1_ses-0p8_run-1_echo-4_part-phase_MEGRE.json
│ │ └── sub-1_ses-0p8_run-1_echo-4_part-phase_MEGRE.nii
│ └── extra_data
│ ├── sub-1_ses-0p8_run-1_chi.nii
│ ├── sub-1_ses-0p8_run-1_mask.nii
│ └── sub-1_ses-0p8_run-1_segmentation.nii
├── ses-1p0
│ ├── anat
│ │ ├── sub-1_ses-1p0_run-1_echo-1_part-mag_MEGRE.json
│ │ ├── sub-1_ses-1p0_run-1_echo-1_part-mag_MEGRE.nii
│ │ ├── sub-1_ses-1p0_run-1_echo-1_part-phase_MEGRE.json
│ │ ├── sub-1_ses-1p0_run-1_echo-1_part-phase_MEGRE.nii
│ │ ├── sub-1_ses-1p0_run-1_echo-2_part-mag_MEGRE.json
│ │ ├── sub-1_ses-1p0_run-1_echo-2_part-mag_MEGRE.nii
│ │ ├── sub-1_ses-1p0_run-1_echo-2_part-phase_MEGRE.json
│ │ ├── sub-1_ses-1p0_run-1_echo-2_part-phase_MEGRE.nii
│ │ ├── sub-1_ses-1p0_run-1_echo-3_part-mag_MEGRE.json
│ │ ├── sub-1_ses-1p0_run-1_echo-3_part-mag_MEGRE.nii
│ │ ├── sub-1_ses-1p0_run-1_echo-3_part-phase_MEGRE.json
│ │ ├── sub-1_ses-1p0_run-1_echo-3_part-phase_MEGRE.nii
│ │ ├── sub-1_ses-1p0_run-1_echo-4_part-mag_MEGRE.json
│ │ ├── sub-1_ses-1p0_run-1_echo-4_part-mag_MEGRE.nii
│ │ ├── sub-1_ses-1p0_run-1_echo-4_part-phase_MEGRE.json
│ │ └── sub-1_ses-1p0_run-1_echo-4_part-phase_MEGRE.nii
│ └── extra_data
│ ├── sub-1_ses-1p0_run-1_chi.nii
│ ├── sub-1_ses-1p0_run-1_mask.nii
│ └── sub-1_ses-1p0_run-1_segmentation.nii
└── ses-1p2
├── anat
│ ├── sub-1_ses-1p2_run-1_echo-1_part-mag_MEGRE.json
│ ├── sub-1_ses-1p2_run-1_echo-1_part-mag_MEGRE.nii
│ ├── sub-1_ses-1p2_run-1_echo-1_part-phase_MEGRE.json
│ ├── sub-1_ses-1p2_run-1_echo-1_part-phase_MEGRE.nii
│ ├── sub-1_ses-1p2_run-1_echo-2_part-mag_MEGRE.json
│ ├── sub-1_ses-1p2_run-1_echo-2_part-mag_MEGRE.nii
│ ├── sub-1_ses-1p2_run-1_echo-2_part-phase_MEGRE.json
│ ├── sub-1_ses-1p2_run-1_echo-2_part-phase_MEGRE.nii
│ ├── sub-1_ses-1p2_run-1_echo-3_part-mag_MEGRE.json
│ ├── sub-1_ses-1p2_run-1_echo-3_part-mag_MEGRE.nii
│ ├── sub-1_ses-1p2_run-1_echo-3_part-phase_MEGRE.json
│ ├── sub-1_ses-1p2_run-1_echo-3_part-phase_MEGRE.nii
│ ├── sub-1_ses-1p2_run-1_echo-4_part-mag_MEGRE.json
│ ├── sub-1_ses-1p2_run-1_echo-4_part-mag_MEGRE.nii
│ ├── sub-1_ses-1p2_run-1_echo-4_part-phase_MEGRE.json
│ └── sub-1_ses-1p2_run-1_echo-4_part-phase_MEGRE.nii
└── extra_data
├── sub-1_ses-1p2_run-1_chi.nii
├── sub-1_ses-1p2_run-1_mask.nii
└── sub-1_ses-1p2_run-1_segmentation.nii
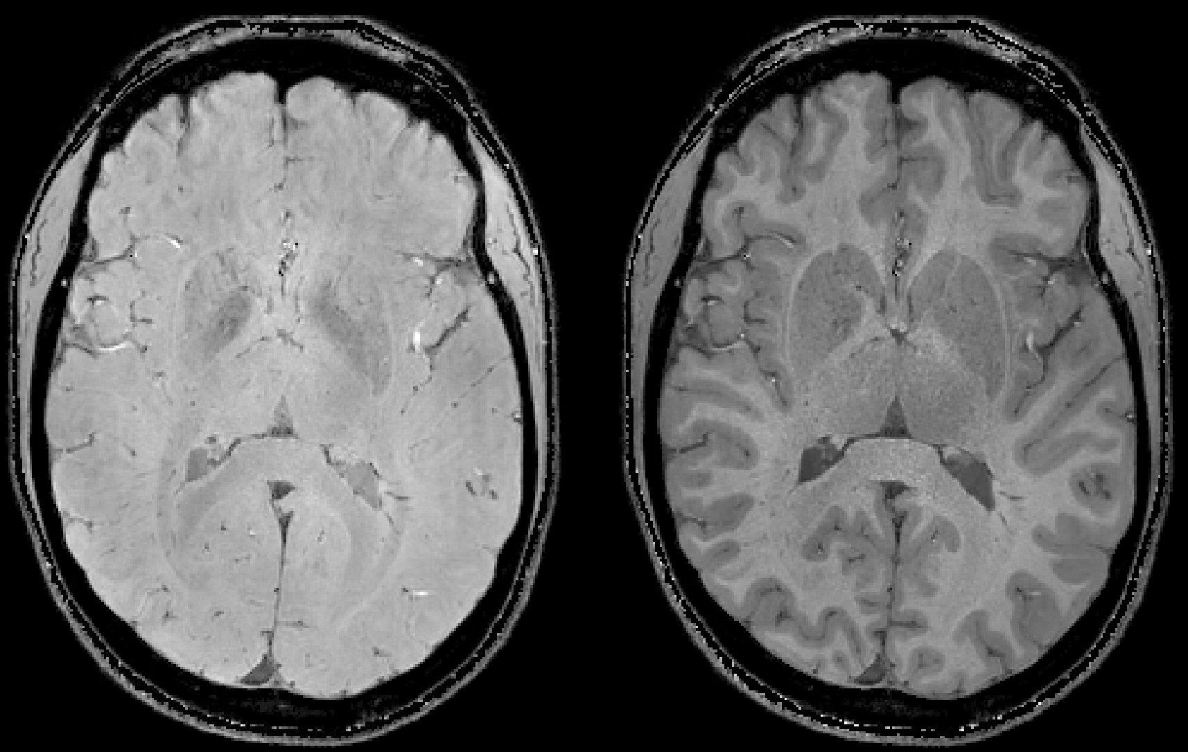
Some repesentative images including the ground truth chi map, first-echo magnitude image, and first and last-echo phase images:
import qsm_forward
import numpy as np
if __name__ == "__main__":
tissue_params = qsm_forward.TissueParams(root_dir="~/data", chi="ChiModelMIX.nii.gz")
recon_params_all = [
qsm_forward.ReconParams(voxel_size=voxel_size, session=session, TEs=TEs, TR=TR, flip_angle=flip_angle, random_seed=42, suffix=suffix, save_phase=save_phase)
for (voxel_size, session, TEs, TR, flip_angle, suffix, save_phase) in [
(np.array([0.64, 0.64, 0.64]), "0p64", np.array([3.5e-3]), 7.5e-3, 40, "T1w", False),
(np.array([0.64, 0.64, 0.64]), "0p64", np.array([0.004, 0.012, 0.02, 0.028]), 0.05, 15, "T2starw", True),
]
]
for recon_params in recon_params_all:
qsm_forward.generate_bids(tissue_params=tissue_params, recon_params=recon_params, bids_dir="bids")bids/
└── sub-1
└── ses-0p64
├── anat
│ ├── sub-1_ses-0p64_run-1_echo-1_part-mag_MEGRE.json
│ ├── sub-1_ses-0p64_run-1_echo-1_part-mag_MEGRE.nii
│ ├── sub-1_ses-0p64_run-1_echo-1_part-phase_MEGRE.json
│ ├── sub-1_ses-0p64_run-1_echo-1_part-phase_MEGRE.nii
│ ├── sub-1_ses-0p64_run-1_echo-2_part-mag_MEGRE.json
│ ├── sub-1_ses-0p64_run-1_echo-2_part-mag_MEGRE.nii
│ ├── sub-1_ses-0p64_run-1_echo-2_part-phase_MEGRE.json
│ ├── sub-1_ses-0p64_run-1_echo-2_part-phase_MEGRE.nii
│ ├── sub-1_ses-0p64_run-1_echo-3_part-mag_MEGRE.json
│ ├── sub-1_ses-0p64_run-1_echo-3_part-mag_MEGRE.nii
│ ├── sub-1_ses-0p64_run-1_echo-3_part-phase_MEGRE.json
│ ├── sub-1_ses-0p64_run-1_echo-3_part-phase_MEGRE.nii
│ ├── sub-1_ses-0p64_run-1_echo-4_part-mag_MEGRE.json
│ ├── sub-1_ses-0p64_run-1_echo-4_part-mag_MEGRE.nii
│ ├── sub-1_ses-0p64_run-1_echo-4_part-phase_MEGRE.json
│ ├── sub-1_ses-0p64_run-1_echo-4_part-phase_MEGRE.nii
│ ├── sub-1_ses-0p64_run-1_T1w.json
│ └── sub-1_ses-0p64_run-1_T1w.nii
└── extra_data
├── sub-1_ses-0p64_run-1_chi.nii
├── sub-1_ses-0p64_run-1_mask.nii
└── sub-1_ses-0p64_run-1_segmentation.nii
Some repesentative images including the T2starw and T1w magnitude images:
In this example, we simulated spherical susceptibility sources to generate a BIDS directory with a range of B0 directions:
On the left is the phase image with the two sources with an axial B0 direction. On the right is a phase image with the two sources with a B0 direction rotated 30 degrees about the x axis.



