Pneumonia is an inflammatory condition of the lung affecting primarily the small air sacs known as alveoli.Symptoms typically include some combination of productive or dry cough, chest pain, fever and difficulty breathing. The severity of the condition is variable. Pneumonia is usually caused by infection with viruses or bacteria and less commonly by other microorganisms, certain medications or conditions such as autoimmune diseases.Risk factors include cystic fibrosis, chronic obstructive pulmonary disease (COPD), asthma, diabetes, heart failure, a history of smoking, a poor ability to cough such as following a stroke and a weak immune system. Diagnosis is often based on symptoms and physical examination. Chest X-ray, blood tests, and culture of the sputum may help confirm the diagnosis.The disease may be classified by where it was acquired, such as community- or hospital-acquired or healthcare-associated pneumonia.
Link: https://www.kaggle.com/datasets/mrinath/pneumonia
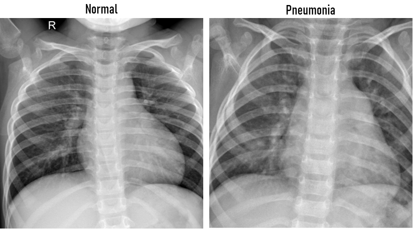
The dataset consists of 3 subdirectories, namely train, val and test with each of them containing chest X-Ray images of two classes of interest i.e. Normal and Pneumonia.
The train set has about 4877 images, with 3707 images of Pneumonia and 1176 images of Normal Chest X-Ray Image. The val set has around 349 image files, with Normal constituting about 173 files and Pneumonia composed of 176 images. The test set consists of 624 images, with 234 Normal images and 390 Pneumonia images.
- Keras
- Tensorflow
- Seaborn
- Matplotlib

