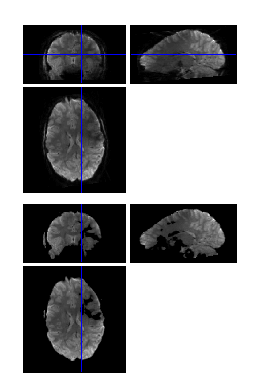
I got this weird result of despiking running the BIDS pipeline BIDS 7t_trt. Some part of the EPIs have been zeroed when visual inspection told me they were fine.
With my experience with 7T data I suspect that some of the stuff designed for 3T might not behave well on 7T data but I might have overlooked something else. Any idea?
Above: before despiking
Below: before despiking
